¿Dolor en la cara interna del tobillo ? ¿ es el tibial posterior?
El dolor en la cara interna del tobillo puede ser señal de que el tibial posterior esté fallando. El tibial posterior es muy importante. Su alteración puede impedirnos caminar. Su función principal es sostener el arco del pie y estabilizarlo durante la marcha. Es uno...
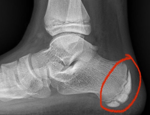
5 errores que no están curando tu dolor de talón.
Cuando el dolor de talón mejora durante unas semanas y después vuelve, probablemente estás atrapada dentro de un patrón de errores que se repiten. En patología del talón 1. Confundir fascitis con fasciosis No es lo mismo inflamación que degeneración. La fascitis...
Infiltraciones en el dolor de talón: ¿cuándo, cómo y por qué?
El dolor de talón es el motivo de consulta más frecuente y que más desespera a los pacientes. Con respecto a las infiltraciones surgen muchas dudas y es que es necesario saber qué , cuándo y por qué ? ¿Las infiltraciones son buenas o malas? Las infiltraciones no son...
